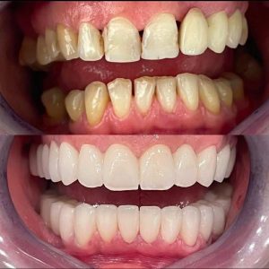
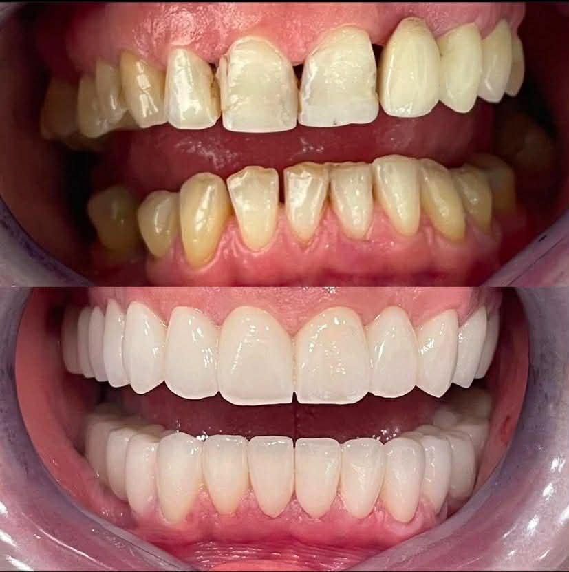
Në një botë ku buzëqeshja është karta më e fortë e prezantimit, “Bani Aesthetic” vjen si një standard i ri në stomatologjinë estetike në Shqipëri. Me një kombinim të teknologjisë moderne, përvojës profesionale dhe një qasjeje të personalizuar ndaj çdo pacienti, kjo klinikë synon të krijojë jo vetëm buzëqeshje perfekte, por edhe besim të ri tek vetja. Një filozofi e ndërtuar mbi estetikën dhe funksionin.
Në “Bani Aesthetic”, çdo trajtim fillon me një analizë të detajuar të fytyrës, dhëmbëve dhe tipareve individuale.
Qëllimi nuk është thjesht një buzëqeshje e bukur, por një rezultat natyral që harmonizohet me profilin e pacientit. Kjo filozofi e bën klinikën një zgjedhje ideale për pacientët që kërkojnë rezultate premium dhe afatgjata.
Shërbimet kryesorenë “Bani Aesthetic”, ofron një gamë të plotë trajtimesh estetike dentare, duke përfshirë:
• Faseta dentare (veneers) – për një transformim të menjëhershëm të buzëqeshjes
•Maskerina transparente (Invisalign) – drejtim i dhëmbëve në mënyrë diskrete
• Implantologji dentare – zgjidhje moderne për mungesën e dhëmbëve
• Smile Design dixhital – parashikimi i rezultatit përpara trajtimit Teknologji moderne dhe standarde ndërkombëtare.

Klinika përdor pajisje dhe teknologji të avancuara për të garantuar precizion maksimal dhe komoditet për pacientët. Çdo procedurë realizohet sipas protokolleve bashkëkohore, duke vendosur sigurinë dhe cilësinë në plan të parë. Eksperiencë pacienti e personalizuar Një nga pikat më të forta të Bani Aesthetic është përkushtimi ndaj pacientit. Çdo individ trajtohet me kujdes të veçantë, duke marrë kohën e nevojshme për të kuptuar nevojat dhe pritshmëritë e tij. Nga konsultimi i parë deri tek rezultati final, pacientët ndihen të sigurt dhe të informuar në çdo hap. Turizmi dentar – një mundësi për pacientët ndërkombëtarë Falë cilësisë së lartë dhe kostove konkurruese, “Bani Aesthetic”, është gjithashtu një destinacion i preferuar për turizmin dentar. Pacientë nga Europa dhe më gjerë zgjedhin këtë klinikë për të kombinuar trajtimin me një eksperiencë të këndshme në Shqipëri.Pse të zgjidhni “Bani Aesthetic”?
• Ekspertizë në stomatologjinë estetike
• Qasje moderne dhe inovative
• Rezultate natyrale dhe afatgjata
• Kujdes maksimal ndaj pacientit
• Ambient komod dhe profesional


